The key to a healthy smile is regular preventative care. Brady Dental Group is dedicated to providing that care. An important piece of any preventative dental care is a professional teeth cleaning. The hygienists at Brady Dental Group work hard to offer the best, most comfortable cleaning experience possible. Utilizing the latest technology and procedures guarantees your teeth will look and feel great when you leave the office.
Teeth CleaningA dental crown is a cap shaped like a tooth. It is placed over a damaged tooth to restore its shape, size, strength, and appearance. Teeth can be damaged in a variety of ways. Tooth decay, injuries, or poor care can lead to the need of a crown. When a dental crown is placed, it is cemented into place and covers the visible portion of the tooth.
Tooth CrownsFull mouth restoration can not only bring about a better smile, but also a more functional bite and stable joints. If you suffer from problems with your teeth or some other type of dental issue, a full mouth restoration can benefit your oral health and overall function and beauty of your mouth.
Full Mouth RestorationPreventative dental care is a partnership between you and your dentist. Maintaining healthy teeth contributes to your health throughout your lifetime. At Brady Dental Group, we work with you to protect your oral health.
Preventative DentistryThe Brady Dental Group practices general dentistry in order to meet all of your dental needs. Good dental health contributes to your overall physical condition. In order to help you maintain your dental and physical health, the dentists of Brady Dental Group are dedicated to caring for you.
General DentistryNeed a new smile? Brady Dental can work with you to create a smile that will not only improve your appearance but give you confidence for every situation in your life. Cosmetic dentistry can help fix discoloration of teeth. It can repair chips and cracks, and straighten misaligned teeth. At Brady Dental you can achieve the confidence and health you are looking for when you feel a smile coming on.
Cosmetic DentistryVisiting the dentist doesn’t have to be scary! The dentists at Brady Dental Group do everything they can to make sure your child leaves our office with a big smile on their face. Our skilled staff can help when children feel stressed and anxious when visiting the dentist. The staff is expertly trained to put children of all ages at ease with being at the dentist.
Pediatric DentistryIf you are crestfallen with your smile, you should consider dental implant restorations with Brady Dental Group. Dental implants are a great option for replacing missing teeth. If you are missing teeth and suffer from a lack of self-confidence in social situations, dental implant restorations with Brady Dental Group might be for you.
Universal words that contain dental surgery can cause panic and fear among dental patients. The professionals at Brady Dental Group can help reassure these feelings with a calm, professional exam to determine if dental surgery is right for you. Each patient at Brady Dental Group is different and every case is treated accordingly.
There are many reasons dental problems occur. The most common dental problem is a toothache. It may be alleviated by rinsing your mouth with warm salt water and flossing to remove food caught between teeth or pus around the tooth. See your dentist at Brady Dental Group as soon as possible because antibiotics may be needed.
Getting a healthy and bright smile takes more than you think. The experts at Brady Dental Group believe that oral care is important for your overall health and well-being. There are several things you can do at home, no matter your age, to keep your teeth and gums bursting with health.
There’s always a good reason to smile! The experts at Brady Dental Group understand that your teeth are to be treasured and that people from all age groups suffer from common dental problems. Caring for your teeth takes good oral hygiene and going for a visit to Brady Dental Group can help you determine if more work is needed to keep that smile healthy and shining!
Brady Dental offers Invisalign orthodontics for those seeking straighter teeth for their smiles. Invisalign orthodontics aligners work like traditional braces by straightening the teeth, but with added benefits not available from their metal counterparts. They’re less visible so they are more aesthetically pleasing, and they can be removed for eating and brushing.
Smiling is the universal language of kindness. Affordable Invisalign treatment from Brady Dental in Canyon, Texas makes kindness count. Invisalign treatment is the process of wearing a series of clear, removable aligners that gradually straighten your teeth without the awkwardness and guesswork of metal braces.
Smiling is the universal language of kindness. Affordable Invisalign treatment from Brady Dental in Amarillo, Texas makes kindness count. Invisalign treatment is the process of wearing a series of clear, removable aligners that gradually straighten your teeth without the awkwardness and guesswork of metal braces.




.jpg)
.jpg)

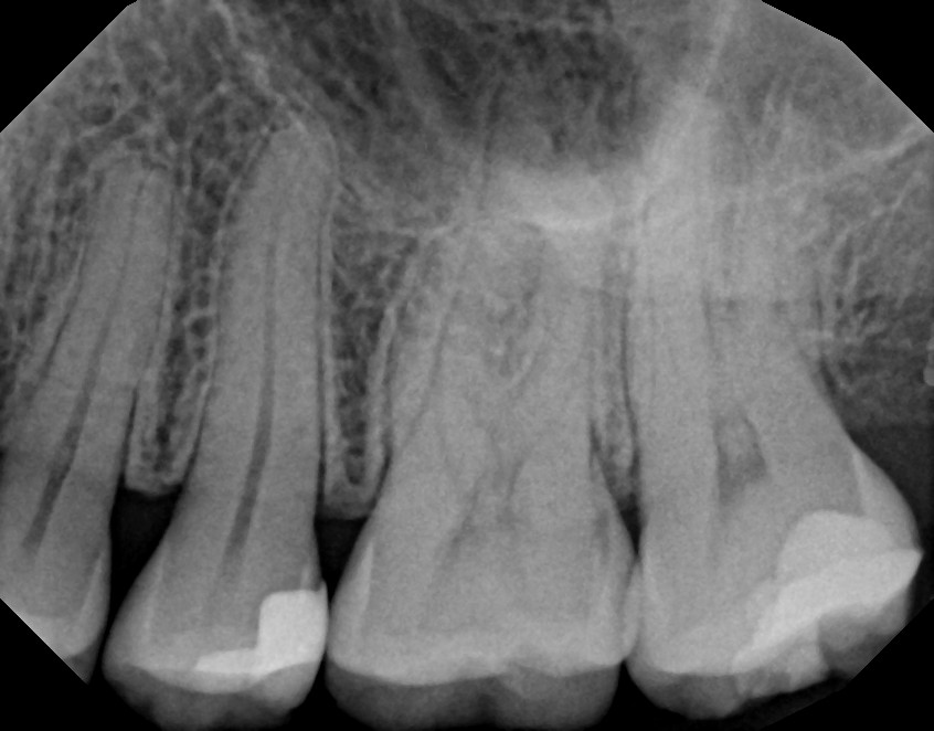
Healthy teeth begin with accurate information. Intraoral Periapical digital X-rays provide one of the clearest views of a tooth from top to bottom. They reveal areas that cannot be seen during a normal visual exam and help dentists detect problems at early stages. When patients receive Intraoral Periapical digital X-rays at Brady Dental Group in Amarillo, Texas, they benefit from advanced technology, comfortable techniques, and a caring team that explains every step.
These X-rays help show the entire tooth, including the crown, the root, and the surrounding bone. This level of detail is important for diagnosing infections, cysts, and other conditions that may develop beneath the surface. Many patients are surprised by how much information one small digital image can reveal. It often becomes the key to understanding why certain treatments are recommended or why early preventive care matters.
Intraoral Periapical digital X-rays give a complete picture of a tooth’s structure. They show the root tips, the supporting bone, and the spaces where infections or inflammation may begin. Since these X-rays focus on one or two teeth at a time, they provide a detailed view that helps the dentist catch concerns that might otherwise go unnoticed.
These digital images help identify root infections, abscesses, early bone loss, impacted teeth, and developing cysts. They also help monitor the long-term health of teeth that have had root canals, crowns, or other restorative treatments.
The team at Brady Dental Group in Amarillo, Texas uses high-resolution digital sensors to capture clear and accurate images. This technology improves diagnosis and helps patients understand their oral health better.
Digital Periapical X-rays are fast and comfortable. The patient sits in the dental chair while a small sensor is placed inside the mouth. The sensor captures the image with very low radiation. The entire process takes only a few seconds.
There is no waiting for images to develop, no uncomfortable film holders, and no chemical processing. Everything appears instantly on the screen so the dentist can review it in real time.
Many patients appreciate this immediate feedback. It helps them see the problem with their own eyes and understand why certain treatments are recommended. This improves communication and builds trust between the dentist and the patient.
Intraoral Periapical digital X-rays provide details that other types of imaging cannot. They show the full length of the roots, the condition of the bone, and the spaces where infections can form. This makes them especially valuable for diagnosing root problems, planning extractions, and monitoring the success of previous dental work.
Periapical images are also important for patients who experience tooth pain with no clear cause. Digital X-rays help reveal the source and guide the correct treatment.
Patients who have dental implants, bridges, or crowns also benefit from Periapical digital imaging. It allows the dentist to check the health of the supporting bone and verify that the restoration is stable.
Preventive dentistry depends on finding problems early and monitoring changes over time. Periapical digital X-rays support this by creating a clear record of a tooth’s condition. When images are taken periodically, the dentist can compare them and detect small changes.
These comparisons help identify slow bone loss, early infection, or shifting teeth. They also help plan future treatments, such as crowns or root canals, with more precision.
When a patient is able to see their before and after images it helps them feel proud of their progress. They realize how daily brushing, flossing, and regular checkups improve their oral health. Digital X-rays help them see the difference clearly, which motivates them to continue good habits.
These X-rays are used for many different treatments. When planning a root canal, the dentist needs to see the shape of the roots and the location of the infection. When planning an extraction, the dentist uses the images to understand how the roots sit in the bone. When referring a patient out for a dental implant, the images help determine whether the bone is strong enough.
Because the images are accurate and detailed, treatment decisions are safer and more predictable. Patients appreciate knowing that nothing is being left to guesswork.

Intraoral Periapical digital X-rays at Brady Dental Group in Amarillo, Texas play an essential role in early detection, accurate diagnosis, and quality dental care. Whether you are experiencing tooth pain, preparing for treatment, or coming in for a routine checkup, these digital images help protect your smile and guide your long-term oral health.
To schedule your appointment, visit bradydentalgroup.com or call the office today. A strong, confident smile begins with clear information and a team you can trust.