The key to a healthy smile is regular preventative care. Brady Dental Group is dedicated to providing that care. An important piece of any preventative dental care is a professional teeth cleaning. The hygienists at Brady Dental Group work hard to offer the best, most comfortable cleaning experience possible. Utilizing the latest technology and procedures guarantees your teeth will look and feel great when you leave the office.
Teeth CleaningA dental crown is a cap shaped like a tooth. It is placed over a damaged tooth to restore its shape, size, strength, and appearance. Teeth can be damaged in a variety of ways. Tooth decay, injuries, or poor care can lead to the need of a crown. When a dental crown is placed, it is cemented into place and covers the visible portion of the tooth.
Tooth CrownsFull mouth restoration can not only bring about a better smile, but also a more functional bite and stable joints. If you suffer from problems with your teeth or some other type of dental issue, a full mouth restoration can benefit your oral health and overall function and beauty of your mouth.
Full Mouth RestorationPreventative dental care is a partnership between you and your dentist. Maintaining healthy teeth contributes to your health throughout your lifetime. At Brady Dental Group, we work with you to protect your oral health.
Preventative DentistryThe Brady Dental Group practices general dentistry in order to meet all of your dental needs. Good dental health contributes to your overall physical condition. In order to help you maintain your dental and physical health, the dentists of Brady Dental Group are dedicated to caring for you.
General DentistryNeed a new smile? Brady Dental can work with you to create a smile that will not only improve your appearance but give you confidence for every situation in your life. Cosmetic dentistry can help fix discoloration of teeth. It can repair chips and cracks, and straighten misaligned teeth. At Brady Dental you can achieve the confidence and health you are looking for when you feel a smile coming on.
Cosmetic DentistryVisiting the dentist doesn’t have to be scary! The dentists at Brady Dental Group do everything they can to make sure your child leaves our office with a big smile on their face. Our skilled staff can help when children feel stressed and anxious when visiting the dentist. The staff is expertly trained to put children of all ages at ease with being at the dentist.
Pediatric DentistryIf you are crestfallen with your smile, you should consider dental implant restorations with Brady Dental Group. Dental implants are a great option for replacing missing teeth. If you are missing teeth and suffer from a lack of self-confidence in social situations, dental implant restorations with Brady Dental Group might be for you.
Universal words that contain dental surgery can cause panic and fear among dental patients. The professionals at Brady Dental Group can help reassure these feelings with a calm, professional exam to determine if dental surgery is right for you. Each patient at Brady Dental Group is different and every case is treated accordingly.
There are many reasons dental problems occur. The most common dental problem is a toothache. It may be alleviated by rinsing your mouth with warm salt water and flossing to remove food caught between teeth or pus around the tooth. See your dentist at Brady Dental Group as soon as possible because antibiotics may be needed.
Getting a healthy and bright smile takes more than you think. The experts at Brady Dental Group believe that oral care is important for your overall health and well-being. There are several things you can do at home, no matter your age, to keep your teeth and gums bursting with health.
There’s always a good reason to smile! The experts at Brady Dental Group understand that your teeth are to be treasured and that people from all age groups suffer from common dental problems. Caring for your teeth takes good oral hygiene and going for a visit to Brady Dental Group can help you determine if more work is needed to keep that smile healthy and shining!
Brady Dental offers Invisalign orthodontics for those seeking straighter teeth for their smiles. Invisalign orthodontics aligners work like traditional braces by straightening the teeth, but with added benefits not available from their metal counterparts. They’re less visible so they are more aesthetically pleasing, and they can be removed for eating and brushing.
Smiling is the universal language of kindness. Affordable Invisalign treatment from Brady Dental in Canyon, Texas makes kindness count. Invisalign treatment is the process of wearing a series of clear, removable aligners that gradually straighten your teeth without the awkwardness and guesswork of metal braces.
Smiling is the universal language of kindness. Affordable Invisalign treatment from Brady Dental in Amarillo, Texas makes kindness count. Invisalign treatment is the process of wearing a series of clear, removable aligners that gradually straighten your teeth without the awkwardness and guesswork of metal braces.




.jpg)
.jpg)

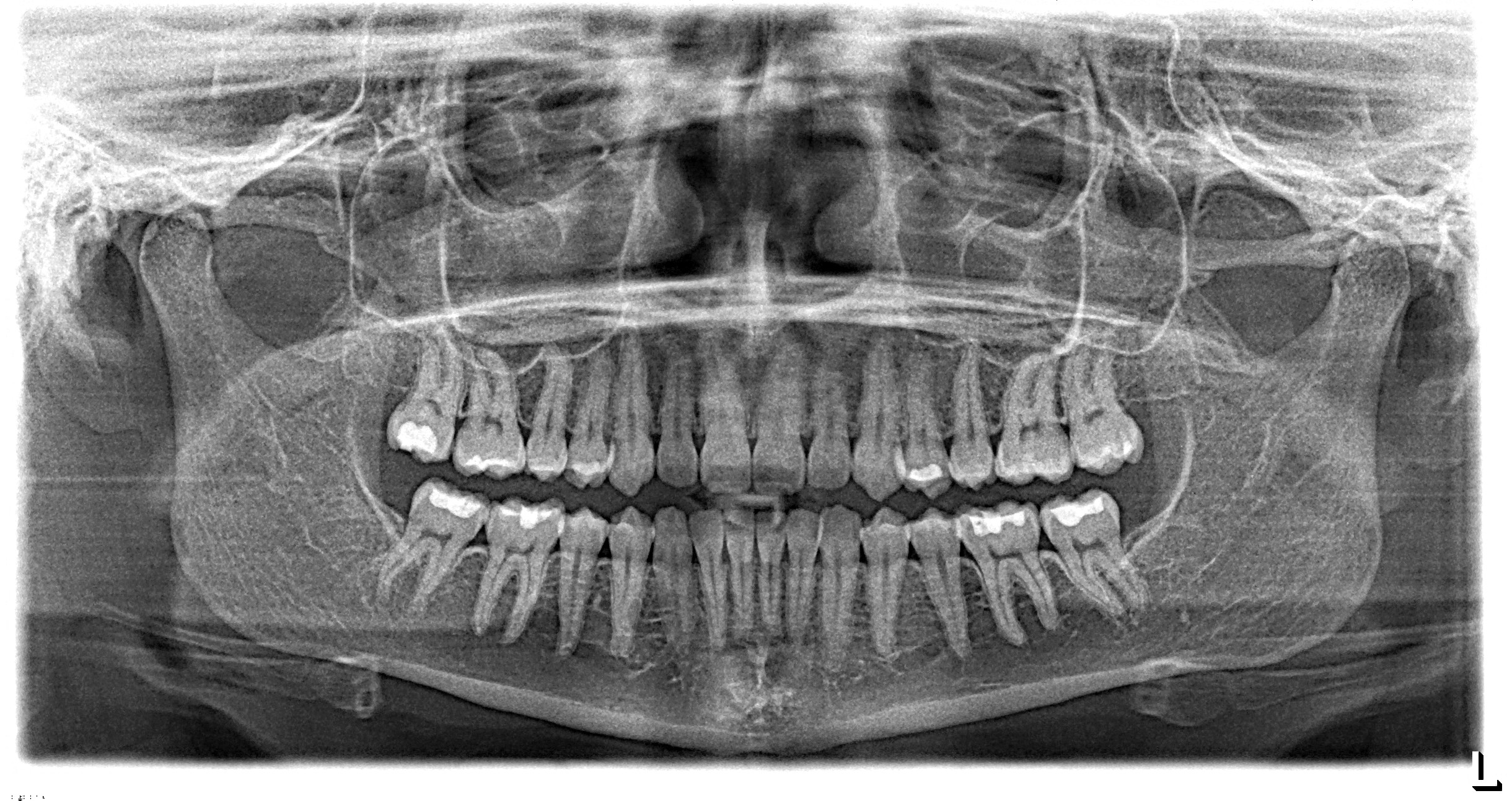
Healthy smiles start with seeing the whole picture. That is exactly what panoramic digital x-rays at Brady Dental Group in Amarillo, Texas provide. Instead of taking small, individual x-rays of just a few teeth, panoramic x-rays capture your entire mouth in one image. This gives the dentist a complete view of your teeth, gums, jaw, and surrounding bone structure.
The team at Brady Dental Group uses advanced digital imaging technology to make each visit more comfortable and efficient. Patients appreciate that the process is quick, safe, and informative. For many, panoramic digital x-rays are the first step toward understanding their oral health and planning the right treatment for lasting results.
Traditional x-rays only show small sections of your mouth at a time. Panoramic digital x-rays, however, use a rotating camera to create one large, high-quality image of your entire dental structure. This allows the dentist to see things that standard x-rays might miss, such as hidden cysts, jaw issues, or impacted teeth.
At Brady Dental Group in Amarillo, Texas, panoramic digital x-rays only take a few seconds and does not require film inside your mouth.
The detailed results help the dental team detect potential problems early and create personalized treatment plans. It is also an effective tool for monitoring changes over time, making it ideal for both new patients and long-term care.
When you arrive for your appointment, a friendly team member explains the x-ray process and positions you comfortably in the machine. The camera rotates around your head as you stand or sit still for about 10 to 20 seconds. The technology is digital, radiation exposure is minimal with no pain or pressure.
Once the image is captured, it appears instantly on the computer screen. This allows you to see exactly what the dentist sees, which helps make conversations about treatment options clear and easy to understand.
Panoramic digital x-rays at Brady Dental Group in Amarillo, Texas give a complete overview of your oral health, helping detect problems that may not show symptoms yet.
Dentists use panoramic images to examine the jaw joints, identify bone loss, locate impacted teeth, and even screen for oral cancers or cysts. For patients planning dental implants, orthodontics, or extractions, these x-rays provide essential information for accurate placement and safe treatment.
Because the image covers your entire mouth, dentists can spot patterns or connections between different areas, leading to better diagnoses and prevention. It is a proactive approach that supports long-term dental health and reduces the need for emergency visits.
When you arrive for your appointment, a friendly team member explains the x-ray process and positions you comfortably in the machine. The camera rotates around your head as you stand or sit still for about 10 to 20 seconds. The technology is digital, radiation exposure is minimal with no pain or pressure.
Once the image is captured, it appears instantly on the computer screen. This allows you to see exactly what the dentist sees, which helps make conversations about treatment options clear and easy to understand.
Panoramic digital x-rays at Brady Dental Group in Amarillo, Texas give a complete overview of your oral health, helping detect problems that may not show symptoms yet.
Dentists use panoramic images to examine the jaw joints, identify bone loss, locate impacted teeth, and even screen for oral cancers or cysts. For patients planning dental implants, orthodontics, or extractions, these x-rays provide essential information for accurate placement and safe treatment.
Because the image covers your entire mouth, dentists can spot patterns or connections between different areas, leading to better diagnoses and prevention. It is a proactive approach that supports long-term dental health and reduces the need for emergency visits.
Prevention is at the heart of everything Brady Dental Group does. Panoramic digital x-rays support that goal by catching potential issues early and helping track ongoing changes. By comparing images over time, dentists can monitor bone density, root alignment, and the success of past treatments.

These x-rays are also valuable for patients who grind their teeth, experience jaw pain, or have a history of dental work. They provide a full picture that helps guide decisions about bite adjustments, restorations, and other preventive treatments.
Because they require no preparation and deliver immediate results, panoramic x-rays are one of the simplest yet most powerful tools in modern dentistry.
Trust grows when patients can see and understand their care. Panoramic digital x-rays at Brady Dental Group in Amarillo, Texas are a perfect example of that philosophy. By sharing clear, detailed visuals, the dental team helps patients feel informed and empowered.
Patients often remark that the transparency of the process makes them more confident in their dental health decisions. The ability to visualize their own progress encourages continued visits and good home care habits.
The panoramic system at Brady Dental Group reflects their commitment to comfort, innovation, and quality. Every detail of the experience is designed to reduce stress and increase understanding. From the welcoming team to the quick results, patients feel valued and cared for at every step.
For those who have not had a dental x-ray in years, the difference is noticeable. The clarity, speed, and safety of panoramic digital x-rays help remove fear from the process and replace it with confidence. It is a modern approach to dental care that fits the needs of today’s families.
Your smile deserves complete care from every angle. Panoramic digital x-rays at Brady Dental Group in Amarillo, Texas offer a clear, comfortable, and accurate way to maintain your oral health. Whether it is your first visit or part of your regular checkup, the team is ready to provide the best in modern dentistry.
Call today or visit bradydentalgroup.com to schedule your next appointment. Experience how panoramic digital x-rays can make a real difference in your comfort, your confidence, and your smile.